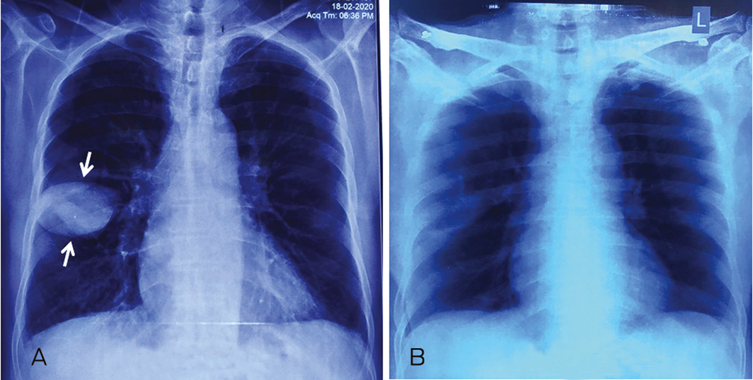
A 68‐year‐old man with diabetes presented with progressive dyspnoea of one month duration. On examination, he had atrial fibrillation with rapid ventricular response, raised jugular venous pressure, presence of pedal oedema, crepitations in chest, and left ventricular third heart sound. Chest x‐ray revealed a well defined oval shaped opacity (the “phantom tumour”) in the transverse fissure of the right lung (Figure, A; white arrows), which resolved completely after 4 days of diuretic therapy (Figure, B). Echocardiography revealed global hypokinesia of the left ventricle with a left ventricular ejection fraction of 28%. A phantom tumour is a localised collection of fluid in the lung fissures (mostly in the transverse fissure) in patients with heart failure.1 The underlying mechanism is thought to be repeated episodes of pleuritis.1
The full article is accessible to AMA members and paid subscribers. Login to read more or purchase a subscription now.
Please note: institutional and Research4Life access to the MJA is now provided through Wiley Online Library.
- 1. Sandal R, Jandial A, Mishra K, Malhotra P. Phantom tumour and heart failure. BMJ Case Rep 2018; 2018: bcr2018227364.


No relevant disclosures.