Connect
MJA
MJA

Guide-wire fragment embolisation in paediatric peripherally inserted central catheters

Joel M Dulhunty, Andreas Suhrbier, Graeme A Macaulay, Jennifer C Brett, Alexa V A van Straaten, Ian M Brereton and Jillann F Farmer
Med J Aust 2012; 196 (4): 250-255. || doi: 10.5694/mja12.10097
Published online: 5 March 2012

Abstract

Objective: To report guide-wire fragment embolisation of paediatric peripherally inserted central catheter (PICC) devices and explore the safety profile of four commonly used devices.

Design, setting and participants: Clinical incidents involving paediatric PICC devices in Queensland public hospitals were reviewed. A PICC user-experience survey was conducted at five public hospitals with 32 clinicians. A device design evaluation was undertaken, and magnetic resonance imaging (MRI) safety was tested by a simulation study.

Main outcome measures: Embolisation events; technical mistakes, multiple attempts and breakages during insertion; willingness to use the device; failure modes and risk priority rating; movement and/or temperature change on exposure to MRI.

Results: Six clinical incidents of silent guide-wire embolisation, and four near misses were identified; all were associated with one type of device. The survey found that this device had a reported broken-wire embolisation rate of 0.9/100 insertions with no events in other devices; two of the four devices had a higher all-cause embolisation rate (3.3/100 insertions v 0.4/100 insertions) and lower clinician acceptance (68%–71% v 91%–100%). All devices had 6–17 identified failure modes; the two devices that allowed removal of a guide wire through a septum had the highest overall risk rating. Guide-wire exposure to MRI was rated a potential safety risk due to movement.

Conclusions: There is marked variation in the safety profile of 3 Fr PICC devices in clinical use, and safety performance can be linked to design factors. Pre-MRI screening of all children who have previously had a PICC device inserted is recommended. We advocate a decision-making model for evaluation of device safety.

Methods

The risk priority number (RPN) is the product of the occurrence, severity and likelihood ratings (O × S × L), and is used to compare the level of risk associated with each of the failure modes. For each device, failure modes for each step of use were identified and RPNs calculated.

Magnetic resonance imaging safety study

The theoretical MRI safety risk associated with heating and movement of an embolised wire fragment was evaluated.8 The ferromagnetic properties of the wires were confirmed by exposure to a magnet. A straight (7 cm) and looped (20 cm) wire fragment from each device was partially embedded in agar gel (1.5 g agar in 100 mL phosphate-buffered saline) in an 88 mm Petri dish with graph paper on the underside. Movement was detected by direct and video observations during: (1) entry into the static magnetic field of a Magnetom Trio Tim 3T MRI scanner (Siemens Healthcare, Erlangen, Germany) using syngo MR software (Siemens Healthcare); (2) 7 minutes of scanning using TrueFISP (Siemens Healthcare) (sequence trfi2d1_43, repetition time [TR] 171 ms, echo time [TE] 1.3 ms, 26 slices, 60 degree pulse angle); and (3) rotation of the plate in a static 3 T MRI field to simulate patient movement. Temperature of the wire-gel interface was measured with a thermocouple probe (Digitech thermometer, Electus Distributions, Sydney, NSW) before and after exposure to the MRI field. Potential MRI risk was identified by ferromagnetism with either movement of the wire, or a temperature rise of > 3.0°C measured next to the wire.9

Results
Clinical incidents

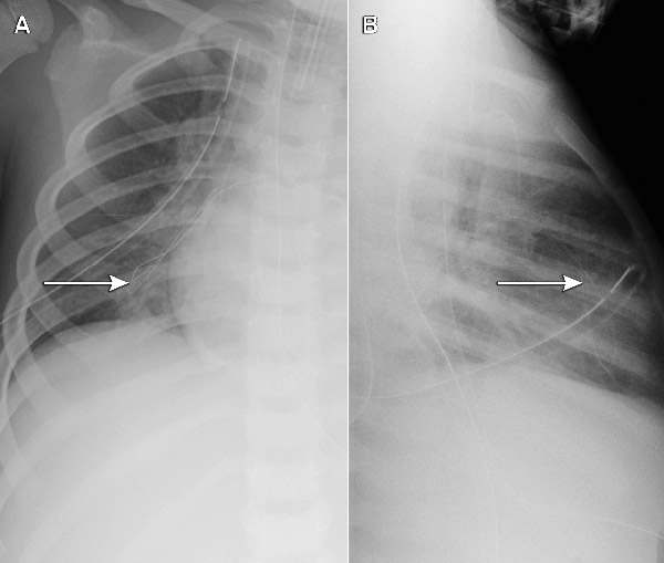
The sentinel event in this case series was the incidental identification of a fine filament of wire on chest x-ray after insertion of a 3 Fr PICC in a 4-year-old child in June 2008. The outer coiled covering of the guide wire had delaminated and separated from the inner core. Computed tomography confirmed a metallic wire within the right ventricle and extending into a pulmonary artery. The embolised wire was removed by cardiac catheterisation.

In October 2008, two further embolisation events were identified at the same facility in children who had received the same type of PICC device. A local review identified a further two cases of radiologically confirmed guide-wire embolisation involving the same device.

Each of the five cases identified was undetected at the time of insertion. As only part of the guide wire embolised, the portion withdrawn by the operator provided a false reassurance. The extremely fine embolised wires had not been noted on post-insertion chest x-rays (where the focus is usually on the position of the catheter tip), but were apparent when a specific review of the films was undertaken (Box 2). This cluster of five cases (involving different operators) at a single hospital triggered a statewide case review, through which an additional five cases in two further hospitals were reported (one actual embolus and four “near misses”, where the wire unravelled, but was noticed and retrieved before entering the patient). All involved the same type of device, giving a total of 10 cases at three hospitals out of 710 patients followed up. Although objective data about whether the wire was cut in every case were not available (because it can be cut without detection), at least one clinician was certain the wire had not been cut.

The reported event rate of wire-fragment embolisation was 0.84 per 100 patient insertions. Adding the near-miss events gives an overall reported event rate of 1.4 per 100 patient insertions.

Initial evaluation suggested potential contributing factors including product design (a trimmable PICC with a fine-gauge wire preloaded through a constrictive septum with the potential for shearing if withdrawn), latent factors (insufficient instructions for use with inadequate warnings about not trimming the wire or withdrawing the guide wire through the septum) and human factors (eg, withdrawal of the guide wire through the septum). Only one set of instructions was available in each box of five catheters. An investigation by the TGA, which concluded in November 2008, required improvements to label warnings and user instructions, but found no inherent flaw with the PICC devices.10

Device design evaluation

The device design evaluation assessed the latent safety features of the four devices, including design features resistant to clinician error. A range of six to 17 potential design failure modes were demonstrated across each of the four devices (Box 4). Failure modes for several clinically relevant complications were linked to five key design elements (Box 5, Box 6). The presence of all five design elements increased the risk of wire fragment embolisation.

Magnetic resonance imaging safety study

A potential risk of an undetected wire fragment in situ was exposure to MRI resulting in tissue and thermal injury.11 All four guide wires were ferromagnetic when exposed to a magnet. On entrance into the MRI field, all wire types moved with sufficient force to pull the partially embedded wire from the agar gel and unravel the coiled wire loop. Once the plate was positioned in the centre of the MRI magnet, wire movement was not observed with application of field gradients. Gentle rotation of the plate in the centre of the scanner resulted in reorientation of all four wire types in the direction of magnetic field lines. The median temperature change in the agar gel next to the wire was 1.5°C (range, 0.9°C to +1.8°C) with a temperature rise of 0.5°C in a control plate without a wire fragment. All devices were rated as being of potential MRI risk due to possible movement and damage to surrounding tissue.

There is no other published safety information on PICC guide wires exposed to a magnetic field. On the basis of this study, we recommend that children who have had a PICC inserted need adequate screening before MRI.

Most PICC placements are checked on chest x-ray after insertion, so use of a sufficiently wide field and careful scrutiny to exclude silent embolisation is recommended as part of the routine post-insertion review. In children with a history of PICC insertion who require MRI, x-ray screening should be undertaken. To minimise radiation dose, this should be a review of the post-insertion films, which will usually be of sufficient quality to confidently exclude wire embolisation. If there is doubt, and if the PICC line inserted was of the design associated with embolisation risk in this study, specific pre-MRI screening should be undertaken.

If a wire is found, assessment for the risk of removal versus retention must be undertaken. Alternative imaging methods to MRI should be considered if the wire fragment remains in situ.

3 Results of a user survey of 32 clinicians at five Queensland hospitals, 2010

Characteristic

Device A, no. (%)

Device B, no. (%)

Device C, no. (%)

Device D, no. (%)


Practitioners

24 (75%)

9 (28%)

25 (78%)

15 (47%)

Estimated total insertions*

218

208

548

249

Embolisation events

Broken-wire embolisation

2 (0.92%)

0

0

0

Line fracture and embolisation

6 (2.75%)

6 (2.88%)

3 (0.55%)

0

Total events

8 (3.67%)

6 (2.88%)

3 (0.55%)

0

Usability

Technical mistakes with insertion§

≥ 1 in 10

3 (13%)

0

1 (4%)

0

< 1 in 10

21 (88%)

9 (100%)

24 (96%)

15 (100%)

Multiple insertion attempts§

≥ 1 in 10

14 (58%)

2 (22%)

14 (56%)

5 (33%)

< 1 in 10

10 (42%)

7 (78%)

11 (44%)

10 (67%)

Breakages during insertion§

≥ 1 in 10

3 (13%)

0

2 (8%)

0

< 1 in 10

21 (88%)

9 (100%)

23 (92%)

15 (100%)

Total (≥ 1 in 10)

20 (83%)

2 (22%)

17 (68%)

5 (33%)

Willingness to use

15/22 (68%)

5/7 (71%)

21/23 (91%)

14/14 (100%)


* Estimated total insertions were calculated using the mid-range value of ordinal categories (3 for 1–5, 13 for 6–20, 36 for 21–50, 76 for 51–100 and 101 for > 100) multiplied by the number of practitioners reporting usage in that range. Percentage embolisation (total wire, broken wire and line fracture) was calculated using the estimated total insertions in the denominator. Rated as > 5 by two participants. § Percentage of technical mistakes, multiple insertion attempts and breakages during insertion was calculated using number of practitioners in the denominator. Willingness to use was dichotomised as “very/quite happy to use” versus “will use if no alternative/will not use” with number of practitioners reported in the denominator.

5 Failure modes and associated design features

Failure mode description

Associated design feature

Explanation

Findings


Wire cut during insertion

Pre-inserted guide wire in a trimmable device

Cutting the guide wire is known to contribute to the risk of wire delamination and embolisation

Wire construction thin enough to cut

Wire unravels on withdrawal

Wire construction able to unravel

If the wire can unravel, then a fragment can be left behind to enter the circulation

Removal of guide wire through a septum or clamp

Product information warns against such removal, but the user can forget to release the clamp. Device design contributes to risk of removal through the septum, by having wire with a handle attached protruding from the septum

Wire enters circulation

Open-ended catheter

A catheter with an open end allows a wire fragment to be flushed into the circulation as the line is set up

Received 15 January 2012, accepted 14 February 2012

  • Joel M Dulhunty1,2
  • Andreas Suhrbier3
  • Graeme A Macaulay4
  • Jennifer C Brett4
  • Alexa V A van Straaten1
  • Ian M Brereton2
  • Jillann F Farmer1,2

  • 1 Patient Safety and Quality Improvement Service, Queensland Health, Brisbane, QLD.
  • 2 University of Queensland, Brisbane, QLD.
  • 3 Queensland Institute of Medical Research, Brisbane, QLD.
  • 4 Biomedical Technology Services, Queensland Health, Brisbane, QLD.



Acknowledgements: 

We acknowledge the staff of the Townsville Hospital who first identified and reported this issue. We thank Dr John Wakefield for his leadership in managing the original case series in Queensland, and for his introduction of the FMEA method to clinical incident management in Queensland. Mellissa Naidoo and Kirsten Price provided assistance with obtaining ethics approval for the survey. Kevin McCaffery provided assistance with the FMEA and with obtaining ethics approval for the survey. Thank you to Joy Gardner and Wayne Schroder for laboratory assistance with the MRI safety study. Gail Durbridge and Donald Maillet helped design and conduct the MRI safety study; David Lloyd helped conduct the MRI safety study. Madeleine Kersting took photographs of the devices. Joan Curtis provided administrative support. Thank you to staff who assisted with obtaining devices for testing, participated in the survey and were involved in the notification, management and review of PICC-related incidents.

Competing interests:

No relevant disclosures.

Author

remove_circle_outline Delete Author
add_circle_outline Add Author

Comment
Do you have any competing interests to declare? *

I/we agree to assign copyright to the Medical Journal of Australia and agree to the Conditions of publication *
I/we agree to the Terms of use of the Medical Journal of Australia *
Email me when people comment on this article

Online responses are no longer available. Please refer to our instructions for authors page for more information.