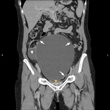
A 55-year-old woman, who had undergone a total hysterectomy decades previously, presented with lower abdominal fullness and urinary frequency. An abdominal–pelvic contrast-enhanced computed tomography scan (Box) showed a large cystic lesion measuring 20 × 17 × 15 cm, with a smaller “daughter” cyst, a compressed urinary bladder and bilateral hydronephrosis.
The patient subsequently had an ovarian cystic tumour weighing 1822 g removed, and had an uneventful postoperative course. The tumour contained serous fluid, which established the diagnosis of serous borderline ovarian tumour (SBOT). An SBOT manifesting as such a large cyst that mimics neurogenic bladder is rare.1 In general, conservative, fertility-sparing surgery is recommended for its promising outcomes.2
- Chih-Chung Shiao1
- Pi-Jen Hong2
- Shu-Chinh Chao3
- Jsun-Liang Kao4
- Saint Mary’s Hospital Luodong, Yilan, Taiwan.
- 1. Segal GH, Hart WR. Ovarian serous tumors of low malignant potential (serous borderline tumors). The relationship of exophytic surface tumor to peritoneal “implants”. Am J Surg Pathol 1992; 16: 577-583.
- 2. Nam JH. Borderline ovarian tumors and fertility. Curr Opin Obstet Gynecol 2010; 22: 227-234.


