Connect
MJA
MJA

Cutaneous marker of an upper gastrointestinal bleed

Pazhanivel Mohan, Mohan Kaduganoor Ramakrishnan and Jayanthi Venkataraman
Med J Aust 2010; 193 (3): 179. || doi: 10.5694/j.1326-5377.2010.tb03840.x
Published online: 2 August 2010

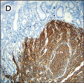
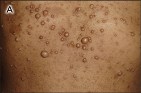
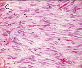
A 38-year-old woman presented with sudden onset of haematemesis and melaena. She had no abdominal pain or jaundice, and she had not taken drugs before the bleed. On examination, she had cutaneous features of neurofibromatosis (Figure, A). Upper gastrointestinal endoscopy showed a smooth polypoidal mass, with central umbilication, in the body of stomach (Figure, B). A contrast-enhanced computed tomography scan of the abdomen showed an exophytic mass confined to the stomach. Following another haematemesis, the patient underwent an emergency sleeve resection of the mass. Histopathological examination of the removed tissue revealed spindle-shaped neoplastic cells with elongated nuclei arranged in fascicles (Figure, C), and immunostaining (Figure, D) was positive for CD117 (c-KIT), confirming gastrointestinal stromal tumour (GIST).

The prevalence of GIST in neurofibromatosis type 1 (NF1) varies between 4% and 25%.1 The clinical presentation of GIST associated with NF1 is similar to sporadic GIST but differs in being multiple; large, often involving the small intestine; and having a favourable prognosis.1 Several cutaneous syndromes are associated with gastrointestinal haemorrhage as a prominent feature. Prompt recognition of these disorders is required as early intervention can be life saving.

  • Pazhanivel Mohan1
  • Mohan Kaduganoor Ramakrishnan2
  • Jayanthi Venkataraman3

  • Stanley Medical College, Chennai, India.


Correspondence: dr.pazhani@gmail.com

  • 1. Mittal A, Felter D, Shiller SM, et al. Gastrointestinal bleeding and cutaneous nodules. Proc (Bayl Univ Med Cent) 2008; 21: 331-334.

Author

remove_circle_outline Delete Author
add_circle_outline Add Author

Comment
Do you have any competing interests to declare? *

I/we agree to assign copyright to the Medical Journal of Australia and agree to the Conditions of publication *
I/we agree to the Terms of use of the Medical Journal of Australia *
Email me when people comment on this article

Online responses are no longer available. Please refer to our instructions for authors page for more information.