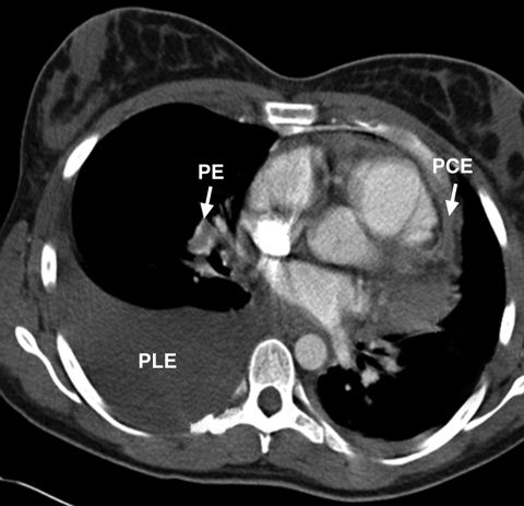
A 25-year-old woman presented with progressively worsening shortness of breath, which was attributed to cardiac tamponade caused by pericardial effusion. Urgent pericardiocentesis revealed haemorrhagic fluid, which continued to accumulate after the procedure. A repeat echocardiogram after pericardiocentesis showed dilatation of the right ventricle and severe pulmonary hypertension. Subsequent computed tomography revealed a massive pulmonary embolism in the right lung (Figure) and multiple small emboli in the left lung, while cytological examination of pericardial and pleural fluid showed adenocarcinomatous cells from a primary lung cancer.
Pericardial effusion and pulmonary embolism usually present in isolation. Their coexistence in this patient — presumably related to the underlying neoplasm — may paradoxically have saved her life, as the raised right ventricular pressure created by the pulmonary emboli delayed the onset of cardiac tamponade.1 Her condition improved initially with chemotherapy and anticoagulation, but she died a year later due to progression of the lung cancer.
- Namal Wijesinghe1
- Cherian Sebastian1
- Hugh McAlister2
- 1 Department of Cardiology, Waikato Hospital, Hamilton, New Zealand.
- 2 Mater Medical Centre, Townsville, QLD.
- 1. Jairath UC, Benotti JR, Spodick DH. Cardiac tamponade masking pulmonary embolism. Clin Cardiol 2001; 24: 485-486.


