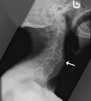
A 79-year-old man presented with painless dysphagia. Results of an oesophagogastroduodenoscopy were unremarkable. A dynamic videofluoroscopic examination was diagnostic, revealing hypertrophic cervical osteophytes indenting the hypopharynx and oesophagus. The osteophytes were also seen on a lateral cervical spine radiograph (Box). The dysphagia responded to dietary modification.
Although cervical osteophytes are seen in 20%–30% of the geriatric population, they are an unusual (and treatable) cause of dysphagia. Dysphagia occurs because of mechanical blockage as well as inflammation of the peripharyngeal and peri-oesophageal tissue. As enlarged cervical osteophytes may be an incidental finding, it is important to exclude other potential causes, such as neoplasm.1,2
- Shoaib Faruqi1
- Muthu Thirumaran2
- Parry Blaxill3
- Department of Respiratory Medicine, Pinderfields General Hospital, Wakefield, West Yorkshire, UK.


