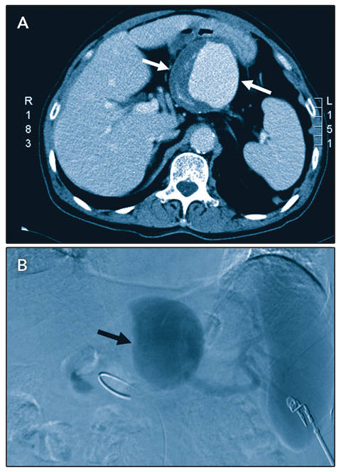
A 70-year-old man had a 1-year history of intermittent abdominal distension. Abdominal ultrasound examination showed a cystic lesion near the pancreas. Contrast computed tomography scans showed a large aneurysm (Figure A, arrows) about 80 × 70 mm in size. Angiography of the coeliac and splenic arteries confirmed the diagnosis of a giant splenic artery aneurysm (Figure B, arrow). The aneurysm was surgically ligated and excised, and the spleen was removed. The postoperative course was uneventful. Splenic artery aneurysms larger than 80 mm are rare.1 Open ligation or embolisation should be considered for symptomatic aneurysms, aneurysms ≥ 2 0 mm in size, or any splenic artery aneurysm in a woman of childbearing age.2
- Chih-Chen Lai1
- Liang-Wen Ding2
- Tung-Wei Chu3
- Critical Care Medicine, Lotung Poh-Ai Hospital, Yi-Lan, Taiwan.
- 1. Bakhos CT, McIntosh BC, Nukta FA, et al. Staged arterial embolization and surgical resection of a giant splenic artery aneurysm. Ann Vasc Surg 2007; 21: 208-210.
- 2. Abbas MA, Stone WM, Fowl RJ, et al. Splenic artery aneurysms: two decades experience at Mayo clinic. Ann Vasc Surg 2002; 16: 442-449.


