
The full article is accessible to AMA members and paid subscribers. Login to read more or purchase a subscription now.
Please note: institutional and Research4Life access to the MJA is now provided through Wiley Online Library.
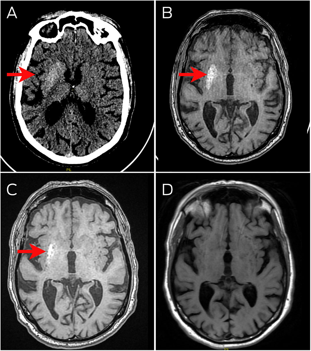
- 1. Chua CB, Sun CK, Hsu CW, et al. “Diabetic striatopathy”: clinical presentations, controversy, pathogenesis, treatments, and outcomes. Sci Rep 2020; 10: 1594.
Online responses are no longer available. Please refer to our instructions for authors page for more information.


We are indebted to Hélène Boyer for the English revisions. We thank Amandine Benoit, Cédric Luyton and Laurène Chevallier, who were also involved in the care of the patient.
No relevant disclosures.