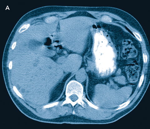
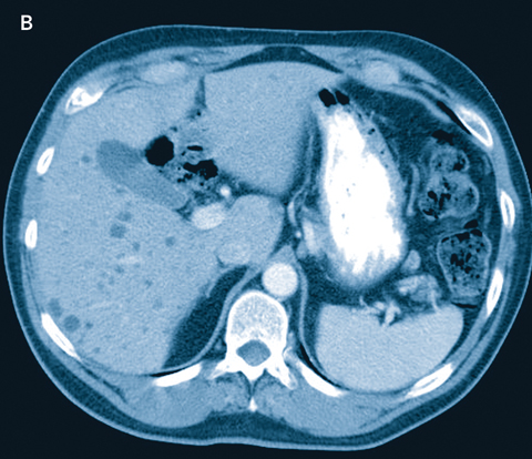
A 57-year-old man had a colonoscopy which revealed a partially obstructing polyp in the rectum. Biopsy revealed an adenocarcinoma. A computed tomography scan of the abdomen revealed multiple low-attenuation lesions diffusely throughout the liver (Box). Differential considerations included multiple small hepatic cysts, Caroli’s disease, microabscesses and metastases. The patient had a low anterior resection for his rectal tumour and wedge biopsy of the liver. Macroscopically, there were multiple 2–3 mm white nodular lesions throughout the liver, with the macroscopic appearance of diffuse liver metastases. Pathology of the liver biopsy revealed von Meyenberg complexes.
Von Meyenberg complexes are benign liver malformations that play an important part in the differential diagnosis of liver lesions. The clinical significance is that they are easily misdiagnosed as multiple liver metastases on imaging, or even on gross examination.1 Because the presence of liver metastasis is crucial to the correct therapeutic approach, ruling out other possible diagnoses, such as von Meyenberg complexes, is of great importance.
- Bassem M Chehab1
- Shaker R Dakhil2
- Kansas University School of Medicine — Wichita, Wichita, Kan, USA.
- 1. Fritz S, Hackert T, Blaker H, et al. Multiple von Meyenburg complexes mimicking diffuse liver metastases from esophageal squamous cell carcinoma. World J Gastroenterol 2006; 12: 4250-4252.



