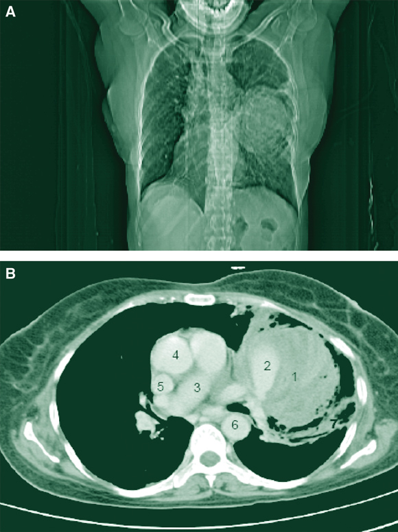
A 55-year-old woman was admitted to hospital with a 1-year history of recurrent haemoptysis. A chest radiograph showed a well defined, rounded left hilar mass with surrounding air-space shadowing (Box, A). Contrast-enhanced computed tomography revealed a thrombosed aneurysm of the left main pulmonary artery that extended into its branches, with surrounding lung consolidation (Box, B). Echocardiography excluded any valvular lesions or shunt. Tests for tuberculosis and HIV were negative, and antinuclear antibody levels were not raised. The aneurysm was thought to be idiopathic. It was surgically resected, and the postoperative course was uneventful.

- Zubair Ahmad1
- Imrana Masood2
- Saurabh K Singh3
- Department of TB and Chest Diseases, Jawaharlal Nehru Medical College, Aligarh Muslim University, Aligarh, India.
Correspondence: imranamasud@yahoo.com
Online responses are no longer available. Please refer to our instructions for authors page for more information.

