Connect
MJA
MJA

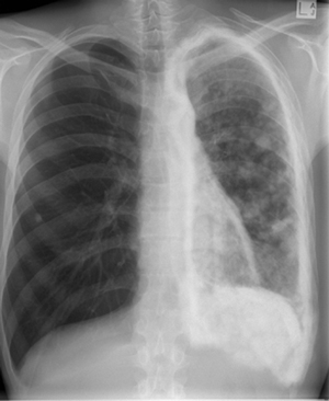
Lung encasement by metastatic osteoblastic sarcoma

Georgina Long and Martin H Tattersall
Med J Aust 2007; 186 (2): 100. || doi: 10.5694/j.1326-5377.2007.tb00819.x
Published online: 15 January 2007
  • Georgina Long1
  • Martin H Tattersall2

  • Department of Medical Oncology, Royal Prince Alfred Hospital, Sydney, NSW.


Correspondence: glong@med.usyd.edu.au

Author

remove_circle_outline Delete Author
add_circle_outline Add Author

Comment
Do you have any competing interests to declare? *

I/we agree to assign copyright to the Medical Journal of Australia and agree to the Conditions of publication *
I/we agree to the Terms of use of the Medical Journal of Australia *
Email me when people comment on this article

Online responses are no longer available. Please refer to our instructions for authors page for more information.