1 Café-au-lait spots with “coast of Maine” appearance

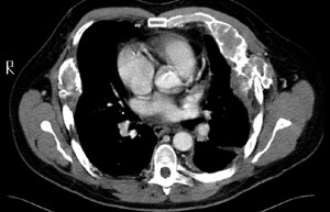
2 Computed tomography scan of the thorax showing multiple rib lesions

A 46-year-old man presented with generalised bone pain which had been present for approximately 15 years. His past history was significant for a precocious puberty, with full development of secondary sexual characteristics by 9 years of age. His adult height was 165 cm.
Physical examination showed multiple café-au-lait spots with typical “coast of Maine” appearance (Figure 1). Routine laboratory tests gave normal results, except for levels of inorganic phosphate (0.71 mmol/L; reference range, 0.81–1.45 mmol/L) and alkaline phosphatase (286 U/L; reference range, 31–93 U/L). A chest x-ray showed multiple ill-defined radiolucent lesions in the ribs. A computed tomography scan of the thorax showed multiple expansile lytic rib lesions, with a peripheral rim of calcification consistent with polyostotic fibrous dysplasia (Figure 2).
The coexistence of precocious puberty, café-au-lait spots and polyostotic fibrous dysplasia constitutes the McCune–Albright syndrome.1 The pathogenesis involves mutation in the Gsα gene located at chromosome 20q13.2-13.3. All cells carrying this mutation manifest dysplastic features.
This case highlights the importance of history and physical examination in establishing a correct diagnosis, which in this case was missed for several years.
- Mehdi Hamadani1
- Lubna Chaudhary2
- Department of Internal Medicine, Oklahoma University Health Sciences Center, Oklahoma City, Okla, USA.
- 1. Albright F, Butler AM, Hampton AO, Smith P. Syndrome characterized by osteitis fibrosa disseminata, areas of pigmentation and endocrine dysfunction, with precocious puberty in females: report of five cases. N Engl J Med 1937; 216: 727-746.

