Drivers and passengers resting their elbow on the car window or protruding their arm from an open window can sustain severe sideswipe injuries of the arm either from a collision with a passing vehicle or from the exposed arm striking a fixed object.1 Such injuries used to occur frequently when roads were narrower and cars were wider, and were a common challenge to orthopaedic surgeons.2-7 Sideswipe injuries, although now rare, have not been eliminated, despite appropriate legislation in all Australian states forbidding drivers or passengers from having any part of their body outside the vehicle.8-10 Although rarely fatal, sideswipe accidents result in severe soft-tissue injuries combined with open fractures or partial amputation of the upper limb, often complicated by neurovascular injuries. Management involves multiple operations and long rehabilitation periods.
On arrival at RPH, all patients were treated according to Advanced trauma life support (ATLS) guidelines.11 Depending on the severity of injury, this was followed by immediate operative intervention or planned emergency operations by the orthopaedic team, in cooperation with the plastic or vascular surgery departments. The injury severity score (ISS) was determined, and this was correlated with the length of hospital stay and the overall outcome.
During the 18-month study period, 479 people required inpatient treatment at RPH for injuries caused by an MVA. Of these, 11 were admitted after sideswipe MVAs with injuries to the upper limb. Box 1 summarises the patient and accident data.
All 11 patients were taken to theatre within 24 hours of arrival at RPH and all underwent a washout and debridement. Depending on the injury, the procedures performed included open reduction and internal fixation; nerve, artery and tendon repair; and free flaps and split-skin grafting. Nine patients underwent multiple surgical procedures; 10 required open reduction and internal fixation with low contact dynamic compression plates for open fractures of the humerus, ulna and radius. The various plating procedures are illustrated in Box 2.
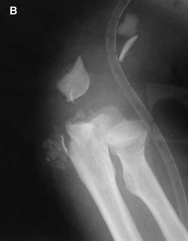
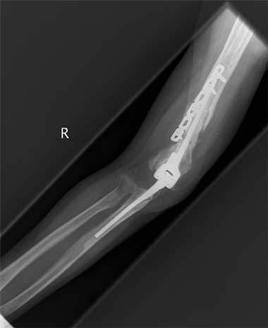
The most severe upper-arm injury involved Patient 7, with loss of the right distal humerus and olecranon, combined with an ulna nerve injury (Box 3). Initial treatment consisted of debridement and application of a bridging external fixator across the lost elbow joint (Box 4). This was complicated by iatrogenic radial nerve neuropraxia caused by the insertion of a Steinman pin. The external fixator was later replaced by a humeral allogeneic bone graft, an elbow prosthesis, and plate fixation of the humeral shaft (Box 5). The same patient also subsequently underwent a revision of the humeral plate procedure after a deep infection with Staphylococcus epidermidis was identified.
In Western Australia sideswipe injuries to the upper arm still occur despite recently introduced legislation and improvements in road conditions.9,12 Similar legislation10 exists in all other Australian states as well; however, Western Australia has the highest infringement penalties for such offences.
Divided highways and wider roads, air conditioning, and heightened public awareness have decreased the number of patients presenting with sideswipe injuries, but overall these changes have failed to fully prevent this devastating and life-changing injury, especially in rural areas.6,8 The Western Australian Road Traffic Code 2000, regulation 242, classifies a limb protruding from a motor vehicle as an offence that carries a penalty to the driver and/or passenger of three demerit points towards loss of licence.9 Despite this, in 2004, 321 drivers and passengers were fined for this offence in Western Australia alone. While three quarters of these offences were for drivers and passengers travelling in urban traffic, eight of our 11 patients sustained sideswipe injuries on rural roads. There is clearly a disparity here.
Several interventions have been shown to decrease the incidence of opposing-direction sideswipe crashes in rural areas, including centreline rumble strips (a relatively low-cost application), barriers to separate opposing traffic flow, and warning signs.13 A freeway management system involves a collection of integrated technologies — surveillance cameras, road sensors, variable message signs, ramp meters and traffic operation centres. Such a system used in Phoenix, Arizona, has been found to reduce the incidence of rearend crashes and sideswipe accidents in urban areas.14 Other features relating to the interior design of cars, such as ergonomic armrests, the ratio of door height to window height, and window lowering restrictions, intuitively play a role and could be legislated for. Currently, the Australian design rules for cars contain no legislation concerning the prevention of sideswipe injuries.15
Our study was not large enough to detect any definite pattern or uniformity in the nature of sideswipe injuries, except for their severity, and this seems not to have changed since this injury was first described.2,6,16-18 The injuries in our study ranged from simple lacerations and fractures to partial amputation of the elbow combined with severe nerve and vascular injuries. The severity of these sideswipe injuries was reflected in the number of patients requiring multiple surgical procedures and the poor functional outcome. Despite a prolonged rehabilitation period, residual deformity and impairment can be expected in most patients, and this can prevent return to pre-accident occupation and result in financial difficulties and reliance on welfare systems. This is especially tragic in younger people, as was the case with many of our patients.
Alcohol was a significant contributing factor in sideswipe injury, as it is in other MVAs.19-21
The predominance of males among our patients is probably multifactorial: young men are more likely to sustain serious motor vehicle trauma than young women. Differences in behaviour and maturity, alcohol use patterns, and social stereotyping are commonly cited reasons.22,23 Our results might suggest that men are more likely to have their arm outside a moving vehicle.
1 Sideswipe injuries of the upper limb in car drivers or occupants: patients, accidents, injuries, treatment and outcomes
2 The various open reduction internal fixation (ORIF) procedures in patients with sideswipe injuries

- Vera Kinzel1
- Allan P Skirving2
- Michael N Wren3
- Rene Zellweger4
- Department of Orthopaedics, Royal Perth Hospital, Perth, WA.
None identified.
- 1. Crenshaw AH Jr. Fractures of shoulder, arm and forearm. In: Canale ST, Campbell WC, editors. Campbell’s operative orthopedics. 10th ed. Chapter 54. St Louis, Mo: CV Mosby, 2003.
- 2. Rieth GR. Elbow out of the window injuries; a follow up study of 50 cases. J La State Med Soc 1959; 111: 220-223.
- 3. Aufranc OE, Jones WN, Harris WH. Sideswipe injury to left elbow. JAMA 1963; 186: 855-857.
- 4. Aufranc OE, Jones WN, Harris WH. Sideswipe injury to right elbow. JAMA 1964; 187: 1017-1019.
- 5. Thompson MS, Chambers GH. Epidemiology of car window accidents. South Med J 1953; 46: 979-984.
- 6. Carswell AS. Car window fractures of the left elbow. J Med Assoc Ga 1953; 42: 211-212.
- 7. Watson-Jones R. Fracture-dislocation of the elbow. Fractures and joint injuries. 3rd ed. Edinburgh: Churchill Livingstone, 1946: 550-511.
- 8. Duncan GJ, Meals R. One hundred years of automobile-induced orthopedic injuries. Orthopedics 1995; 18: 165-170.
- 9. State of Western Australia. Road Traffic Code 2000 Western Australia, Division 5 242(1-4). Available at: http://www.austlii.edu.au/au/legis/wa/consol_reg/rtc2000113/s242.html (accessed Apr 2006).
- 10. Australian Transport Council. Australian Road Rules. National Road Transport Commission, 19 October, 1999. Available at: http://www.rta.nsw.gov.au/rulesregulations/downloads/pts1-21.pdf (assessed Mar 2006).
- 11. American College of Surgeons. Committee on Trauma. Advanced trauma life support for doctors. Student course manual. 7th ed. Chicago: ACS, Oct 2004.
- 12. Nikitins MD, Ibrahim S, Cooter RD. Injury to arms protruding through vehicle windows. Hand Surg 2003; 8: 75-79.
- 13. Persaud BN, Retting RA, Lyon CA. Crash reduction following installation of centerline rumble strips on rural two-line roads. Accid Anal Prev 2004; 36: 1073-1079.
- 14. Olmstead T. Freeway management systems and motor vehicle crashes: a case study of Phoenix, Arizona. Accid Anal Prev 2001; 33: 433-447.
- 15. Department of Transport and Regional Services. Vehicular transport. The Australian design rules. Canberra: Australian Government Department of Transport and Regional Services, 2005. Available at: http://www.dotars.gov.au/transreg/str_adrindx.aspx (accessed Apr 2006).
- 16. Kuur E, Kjaersgaard-Anderson P. Side-swipe injury to the elbow. J Trauma 1988; 28: 1397-1399.
- 17. Raab MG, Lapid MA, Adair D. Sideswipe elbow fractures. Contemp Orthop 1995; 30: 199-205.
- 18. Wood CF. Traffic elbow. Ky Med J 1941; 39; 78-81.
- 19. Drummer OH, Gerostamoulos J, Batziris H, et al. The incidence of drugs in drivers killed in Australian road traffic crashes. Forensic Sci Int 2003; 134(2-3): 154-162.
- 20. Ozanne-Smith J. Road traffic injury — a global public health scourge: a review for World Health Day 2004 (April 7). Aust N Z J Public Health 2004; 28: 109-112. [erratum in: Aust N Z J Public Health 2005; 29: 496.]
- 21. Connor J, Norton R, Ameratunga S, Jackson R. The contribution of alcohol to serious car crash injuries. Epidemiology 2004; 15: 337-344.
- 22. Ulfarsson GF, Mannering FL. Differences in male and female injury severities in sport-utility vehicle, minivan, pickup and passenger car accidents. Accid Anal Prev 2004; 36: 135-147.
- 23. Ostrom M, Sjogren H, Eriksson A. Role of alcohol in traffic crashes involving women: passenger fatalities in northern Sweden. J Stud Alcohol 1995; 56: 506-512.









Abstract
Objective: To examine the conditions leading to sideswipe injury of the upper limb in motor vehicle accidents and to highlight the severity of these injuries.
Design and setting: Prospective study of upper-limb sideswipe injuries in patients admitted to Royal Perth Hospital, Western Australia, between August 2003 and January 2005.
Participants: Eleven patients sustaining sideswipe injuries to the upper limb.
Main outcome measures: Accident pattern, type of injury, surgical management, complications, and functional and employment implications.
Results: Ten patients required open reduction and internal fixation for open fractures of the humerus, ulna and radius, and nine underwent additional surgical procedures including nerve, artery and tendon repair, and free flaps and split-skin grafting. The injury severity scores ranged from 9 to 25. The severity of injuries led to extensive functional deficits in eight patients, affecting employment prospects in seven.
Conclusion: Appropriate educational programs, legislation and improvements in traffic conditions, especially in rural areas, as well as changes in current car design, could contribute to preventing these devastating and complex injuries.