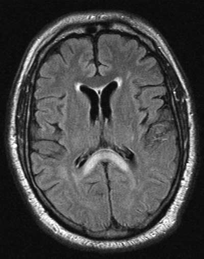
A middle-aged man with type 2 diabetes was brought to hospital with a history of loss of consciousness for an unknown period of time. He had refractory hypotension and hypoglycaemia. A magnetic resonance imaging scan showed an infarct in the splenium of the corpus callosum (Figure). The splenial infarct resembled a “boomerang”, which is characteristic.1
Strokes involving the splenium of the corpus callosum are associated with hypoperfusion,2 and can be seen in association with metabolic changes such as hypoglycaemia, hyponatraemia, hypernatraemia, and renal failure.1
- Jeyaraj Durai Pandian1
- Robert D Henderson2
- Stroke Unit, Department of Neurology, Royal Brisbane and Women's Hospital, Brisbane, QLD.
Correspondence:
- 1. Doherty MJ, Jayadev S, Watson NF, et al. Clinical implications of splenium magnetic resonance imaging signal changes. Arch Neurol 2005; 62: 433-437.
- 2. Chrysikopoulos H, Andreou J, Roussakis A, Pappas J. Infarction of the corpus callosum: computed tomography and magnetic resonance imaging. Eur J Radiol 1997; 25: 2-8.
Online responses are no longer available. Please refer to our instructions for authors page for more information.


