Connect
MJA
MJA

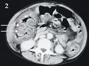
Bowel wall "thumbprinting" in pseudomembranous colitis

Moishe Liberman, Chris Labos and Jeff Wiseman
Med J Aust 2003; 179 (2): 107. || doi: 10.5694/j.1326-5377.2003.tb05448.x
Published online: 21 July 2003
  • Moishe Liberman1
  • Chris Labos2
  • Jeff Wiseman3

  • 1 Department of Surgery, McGill University Health Centre, Montreal, Quebec, Canada.
  • 2 Department of Medicine, Royal Victoria Hospital, Montreal, Quebec, Canada.


Correspondence: 

  • 1. Grainger RG, Allison D, Adam A, et al (editors). Grainger and Allison's diagnostic radiology: a textbook of medical imaging. 4th ed. New York: Churchill Livingstone, 2001: 1132.
  • 2. Gore RM, Levine MS. Textbook of gastrointestinal radiology. 2nd ed. Philadelphia: WB Saunders, 2000: 1163.
  • 3. Kelly CP, Pothoulakis C, LaMont JT. Clostridium difficile colitis. N Engl J Med 1994; 330: 257-262.

Author

remove_circle_outline Delete Author
add_circle_outline Add Author

Comment
Do you have any competing interests to declare? *

I/we agree to assign copyright to the Medical Journal of Australia and agree to the Conditions of publication *
I/we agree to the Terms of use of the Medical Journal of Australia *
Email me when people comment on this article

Online responses are no longer available. Please refer to our instructions for authors page for more information.