Connect
MJA
MJA

Collapse

Dan Harmelin
Med J Aust 2002; 176 (12): 619. || doi: 10.5694/j.1326-5377.2002.tb04602.x
Published online: 17 June 2002

An 88-year-old man was admitted to hospital with "collapse", manifested as hypotension and fever. It was noted that he had gaze palsies.

He had been admitted for a three-day period, 12 days earlier, with a urinary tract infection, which was treated with intravenous, then oral, antibiotics. On this occasion he was again started on intravenous antibiotic therapy. He was seen by an ophthalmologist, and a cranial computed tomography (CT) scan was arranged.

Later that evening, the ward nurses sought further medical review, as the patient remained hypotensive, with a systolic blood pressure of 80 mmHg. On examination he was observed to have a partial left third cranial nerve palsy and complete right third cranial nerve palsy (see Box, A).

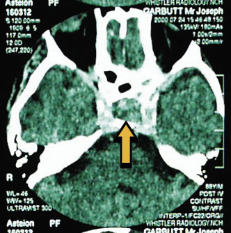
A presumptive diagnosis of pituitary apoplexy was made, and the patient was commenced immediately on intravenous fluids and hydrocortisone 100 mg, 12-hourly. The CT scan (Box, B) confirmed the diagnosis, showing a pituitary tumour measuring 12 mm in diameter. The salient feature is the variegated appearance, suggesting haemorrhage within the tumour.

In patients presenting with the constellation of collapse and gaze palsies, a diagnosis of pituitary apoplexy should be considered. The mechanism of third-nerve palsy is illustrated in the Box (C). The condition is life-threatening, but responds well to appropriate treatment. After the patient had undergone hypophysectomy, the gaze palsies took about three months to resolve completely. The patient remains active on pituitary replacement therapy only.

  • Dan Harmelin1

  • 38 Junction Street, Nowra, NSW.


Correspondence: dharmelin@shoalhaven.net.au

Acknowledgements: 

Acknowledgement: I would like to thank Dr W Ryan and the patient for allowing me to present this case.

Author

remove_circle_outline Delete Author
add_circle_outline Add Author

Comment
Do you have any competing interests to declare? *

I/we agree to assign copyright to the Medical Journal of Australia and agree to the Conditions of publication *
I/we agree to the Terms of use of the Medical Journal of Australia *
Email me when people comment on this article

Online responses are no longer available. Please refer to our instructions for authors page for more information.