A diving fatality due to oxygen toxicity during a "technical" dive
Christopher H Lawrence
An experienced diver drowned after a generalised seizure caused by oxygen toxicity during a 19-minute "technical" dive to a depth of 47 m. He had used a 50% oxygen/nitrogen gas mixture inappropriately during the dive. This case attests the risk of oxygen toxicity from oxygen-enriched air during deep dives, the shortcomings of the diver's equipment, and the need to examine, with knowledge of diving physiology and practice, both the body and equipment. (MJA 1996; 165: 262-263)
Introduction
Scuba diving carries the risks of decompression illness and nitrogen narcosis; these risks increase the deeper the dive. Therefore, recreational scuba divers have been encouraged to avoid depths over 40 m. 1 In the past five years, some recreational divers have used highly specialised equipment and techniques to enable diving to greater depths (known as "technical" diving). These techniques include the use of surface supply and rebreather diving apparatuses and gas mixtures with a lower nitrogen concentration than compressed air to reduce the absorbed nitrogen load, allowing a longer bottom time with less decompression.Another technical diving technique uses oxygen-enriched gas mixtures during decompression to accelerate shedding of absorbed nitrogen from the body ("enriched- air", or "nitrox", diving). Unfortunately, higher concentrations of oxygen may have a toxic effect on the brain, causing generalised convulsions which may lead to drowning. The extent of the toxic effect depends on duration of exposure and is increased by exertion and immersion in water. An oxygen tension limit of 161 kPa (1.6 atm) is often adopted in practical diving for exposures of less than 30 min (National Oceanic and Atmospheric Administration guidelines). 2,3,4 However, oxygen toxicity can occur at tensions as low as 121 kPa (1.2 atm). 2 The "safe" level is currently under review and is clearly dependent on duration of exposure.
The dangers of "technical" diving have been shown in a report of eight fatalities during technical dives in the United States in 1992. 4 We report the death of an experienced diver in Australia during a technical dive using an oxygen-enriched gas mixture. This case attests the risk of oxygen toxicity from oxygen-enriched air during deep dives, the shortcomings of the equipment used and the importance of an integrated approach to examination of the body and equipment by those experienced in diving practice and physiology.
Clinical record
A 47-year-old experienced underwater cave diver, with no
significant medical history, was diving with two tanks -- one
containing compressed air, the other a 50% mixture of oxygen and
nitrogen (nitrox). Towards the end of the 47-m, 19-min dive, he was
seen floating head down, unresponsive, with his mouthpiece out of his
mouth and "his fins [flippers] moving as if he was shivering" (as
reported by another diver to the Coroner). The body was carried up to 15
m depth and then allowed to ascend freely as the other divers
decompressed. Cardiopulmonary resuscitation was attempted, but
abandoned after 43 minutes as there was no response.
Autopsy findings
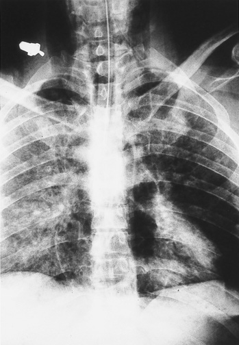
Erect postmortem x-rays and autopsy of the body performed 24 hours
after death revealed large amounts of gas in the venous system of the
trunk and limbs and in both sides of the heart (Figure 1). The heart
weighed 380 g and was normal, apart from foamy blood and gas in all
chambers. Analysis of gas from the right ventricle showed O 2
(20.6% by volume), and N 2 (75.9%). There was
bruising of the tongue and petechiae on the lungs and heart. The brain
(1740 g) showed mild cerebral oedema and a microscopic perivascular
haemorrhage in the floor of the fourth ventricle.
Figure 1: Postmortem erect chest x-ray, showing gas in both sides of the chest and in the neck veins (a combination of postmortem decompression, perimortem barotrauma and, possibly, decomposition).
Examination of diving equipment Examination of the subject's diving equipment (Figure 2) re-vealed that he had been breathing the 50% oxygen/nitrogen mixture for most of the dive. Each tank had a separate first stage connected in an unusual fashion by a two-way switch, which the diver had had made by a local engineering shop. This allowed the diver to switch from one tank to another rapidly. This switch supplied a single second-stage mouthpiece. The two tanks were different colours; the circuit from the black (compressed-air) tank was marked with yellow tape, while the circuit from the yellow (nitrox) tank was unmarked.
Figure 2: Equipment used by the diver, showing the 50% oxygen/nitrogen gas tank (yellow, right), compressed-air tank (black, left), yellow tape marking the compressed-air circuit, and two-way valve which controlled the source of the air supply (inset shows close-up of valve).
The regulator had a small tear and a bite mark in the mouthpiece. The diver wore a facemask and separate mouthpiece rather than a full facemask, which covers eyes, nose and mouth.
Discussion The cause of death, as determined by the Coroner, was drowning after oxygen toxicity. 5 The "shivering" movements and the biting of the tongue and mouthpiece suggested fitting. Using a 50% oxygen/nitrogen mixture at 47 m depth, the diver had been exposed to a partial pressure of oxygen of 291 kPa (2.9 atm), possibly for as long as 19 min. During diving, this gas mixture should be used only at depths less than 14-18 m (depending on the duration of exposure).
Cerebral gas embolism and decompression illness were unlikely causes of death, as the subject was unresponsive before ascent. The gas observed at autopsy probably resulted from a combination of postmortem decompression (release of tissue nitrogen), perimortem barotrauma and, possibly, a degree of decomposition. 6
This death resulted from several compounding problems:
- The diver may have turned the switch to the unmarked nitrox circuit, thinking he was using the circuit to the compressed air in the black tank (the yellow label marked the circuit from the black [compressed-air] tank, not the circuit from the yellow [nitrox] tank). Alternatively, as the two-way valve needed very little pressure to turn, it could have been accidentally switched from a safe to an unsafe gas mix.
- The diver was using a separate facemask and mouthpiece. During the seizure, the mouthpiece fell out. A full facemask, covering both the mouth and nose, should be worn by divers using oxygen-rich mixtures or carrying out deep diving on compressed air, to reduce the chance of drowning should an oxygen convulsion occur.
During the inquest the New South Wales State Coroner declined to recommend legislation to regulate recreational technical diving, preferring that it remain subject to a voluntary code of conduct. 5
Acknowledgements
I thank Sergeant John Marshall, New South Wales Police Divers, for the
examination of the equipment.
References
- Moon RE, Vann RD, Bennett PB. The physiology of decompression
illness. Sci Am 273: 54-61.
-
Gorman DF. Oxygen and carbon dioxide toxicity. In: Gorman DF,
editor. Diving and hyperbaric medicine. 2nd ed. Adelaide:
Hyperbaric Medicine Unit, Royal Adelaide Hospital, 1993:
26.2-26.4.
-
Clark JM. Oxygen toxicity. In: Bennett PB, Elliott DH, editors. The
physiology and medicine of diving. 4th ed. Philadelphia: WB
Saunders, 1993.
-
Menduno M. Safety first, an analysis of recent technical-diving
accidents. Technical Diver 1993; 2: 3-10, reproduced in
SPUMS J 1993; 23: 177-184.
-
New South Wales State Coroner. Coroner's Court, 1995. File number
94/574.
-
Williamson JA, King GK, Callanan VI, Rich KW. Fatal arterial gas
embolism: detection by chest radiography and imaging before
autopsy. Med J Aust 1990; 153: 97-100.
Author's details
NSW Institute of Forensic Medicine, Sydney, NSW.
Christopher H Lawrence, BSc(Med), FRCPA, Forensic
Pathologist; and Clinical Lecturer in Pathology, University of
Sydney, Sydney, NSW.
Reprints: Dr C H Lawrence, NSW Institute of Forensic Medicine, PO Box
90, Glebe, NSW 2037.
E-mail: IOFM AT OZEMAIL.COM.AU
Make a comment - Register to be notified of new articles by email - - To top of article - ©MJA1996
< URL: http://www.mja.com.au/> © 1996 Medical Journal of Australia.
We appreciate your comments.
- Christopher H Lawrence

